
Here at The Dental Place, we highly emphasize prevention. Frequent exams and oral hygiene are essential to help prevent problems before they begin. Dental hygiene services, nutritional counseling, hygiene instruction, sports guards, intraoral photos and diagnostic radiographs are some of the common services offered to help with preventio
Here at The Dental Place, we highly emphasize prevention. Frequent exams and oral hygiene are essential to help prevent problems before they begin. Dental hygiene services, nutritional counseling, hygiene instruction, sports guards, intraoral photos and diagnostic radiographs are some of the common services offered to help with prevention of dental issues.
Your teeth are cleaned using special instruments to remove plaque from above and below the gumline. Afterwards, your teeth are polished. Tooth polishing makes your teeth look and feel great. It also smooths tooth surfaces so plaque is less likely to accumulate.

Dental restorations involve repairing and restoring damaged or decayed teeth. This can include procedures like fillings, bonding, and other techniques to bring back the tooth's functionality and appearance. These restorations are only meant to encompass a small portion of the tooth. If the restoration has become extensive then you may ne
Dental restorations involve repairing and restoring damaged or decayed teeth. This can include procedures like fillings, bonding, and other techniques to bring back the tooth's functionality and appearance. These restorations are only meant to encompass a small portion of the tooth. If the restoration has become extensive then you may need dental crowns to protect the tooth from further damage.
We use the latest technologies and techniques to ensure that our patients receive the best possible care. From digital x-rays to 3D imaging, we have invested in the tools and equipment necessary to provide accurate diagnoses and effective treatments.

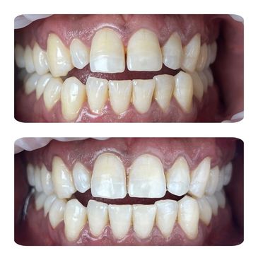
Cosmetic dentistry focuses on enhancing the aesthetic appearance of the teeth and smile. Procedures may include teeth whitening, porcelain veneers, bonding, and other treatments to improve the overall look of the teeth.
Teeth whitening is a cosmetic procedure that involves lightening the color of teeth. This can be done in-office or wit
Cosmetic dentistry focuses on enhancing the aesthetic appearance of the teeth and smile. Procedures may include teeth whitening, porcelain veneers, bonding, and other treatments to improve the overall look of the teeth.
Teeth whitening is a cosmetic procedure that involves lightening the color of teeth. This can be done in-office or with take-home kits, and it helps to remove stains and discoloration, resulting in a brighter smile. Visit our office for a consultation on which option is best for you!
We use cookies to analyze website traffic and optimize your website experience. By accepting our use of cookies, your data will be aggregated with all other user data.